До операций девушка имела рост 167 сантиметров. Теперь Терезия Фишер может похвастаться высоким ростом в 181 сантиметр.
Интересно Понадобится новый паспорт: женщина кардинально изменилась с помощью пластической хирургии
Девушка удлинила ноги на 14 сантиметров
Терезия Фишер ранее в интервью рассказывала, что сделать операцию по удлинению ног ее уговорил бывший муж. Тогда девушка была в депрессии, хотела быть любимой, поэтому решилась на операцию.
Сначала модели удлинили ноги на 8,5 сантиметра в 24 года. Затем в 2022 Терезия снова решилась на операцию, чтобы сделать свои ноги длиннее еще на 5,5 сантиметра.
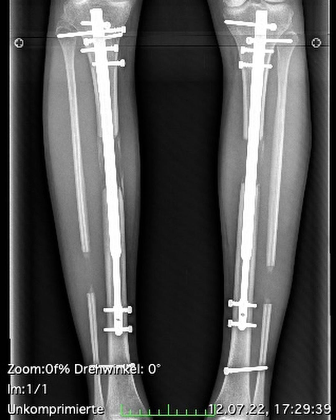
Стоит отметить, что такая операция является сверхсложной Во время нее ломают 2 кости пополам, затем в каждый конец бедренной или большеберцовой кости вставляют гвозди, которые в течение нескольких недель медленно отделяют магнитами, пока они не заживают естественным путем. В результате бедренная кость становится длиннее.
Реабилитация после такой операции очень тяжелая. После нее пациенты переносят ужасную боль, и даже могут быть в агонии.
Модель в сети рассказала, что наконец завершила свой путь по удлинению ног. Она призналась, что испытывала не только физическую боль, но и душевную. 23 июня из тела девушки изъяли последние гвозди и теперь ее ноги полноценно стали длиннее на 14 сантиметров.
Как девушке делали ноги длиннее / Фото из инстаграма @theresiafischer



Терезия Фишер после удлинения ног на 14 сантиметров: смотрите фото
После того, как модель сделала ноги длиннее на 14 сантиметров, она наконец чувствует себя уверенной. Теперь девушка в сети признается, что наконец достигла успеха, поборола свой низкий рост в 167 сантиметров и готова к созданию собственной семьи.


